

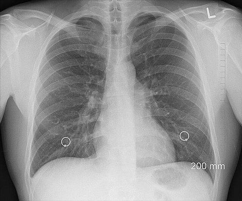
When we inhale isolated coronavirus particles, more than 65 per cent reach the deepest region of our lungs where damage to cells can lead to low blood oxygen levels, new research has discovered.
The study, led by the University of Technology Sydney researchers, found that more of these aerosols reach the right lung than the left.
Follow NewsGram on Instagram to keep yourself updated.
While previous research has revealed how virus aerosols travel through the upper airways including the nose, mouth and throat, the study published in the journal Physics of Fluids was the first to examine how they flow through the lower lungs.
"Our lungs resemble tree branches that divide up to 23 times into smaller and smaller branches. Due to the complexity of this geometry, it is difficult to develop a computer simulation, however, we were able to model what happens in the first 17 generations, or branches, of the airways," said lead author Saidul Islam, from the varsity.
"Depending on our breathing rate, between 32 percent and 35 percent of viral particles are deposited in these first 17 branches. This means around 65 percent of virus particles escape to the deepest regions of our lungs, which includes the alveoli or air sacs," he added.
When we inhale isolated coronavirus particles, more than 65 percent reach the deepest region of our lungs. Pixabay
The study also revealed that more virus particles are deposited in the right lung, especially the right upper lobe and the right lower lobe, than in the left lung. This is due to the highly asymmetrical anatomical structure of the lungs and the way air flows through the different lobes.
The research is backed up by a recent study of chest CT scans of Covid-19 patients showing greater infection and disease in the regions predicted by the model.
The team modeled three different flow rates — 7.5, 15, and 30 liters per minute. The model showed greater virus deposition at lower flow rates
The findings also have implications for the development of targeted drug delivery devices that can deliver medicine to the areas of the respiratory system most affected by the virus.
The World Health Organisation recently updated its advice about the importance of aerosol transmission, warning that because aerosols can remain suspended in the air, crowded indoor settings and areas with poor ventilation pose a significant risk for transmission of Covid-19. (IANS/AD).
Subscribe to our channels on YouTube and WhatsApp
Download our app on Play Store