

If you eat undercooked meat then you may need to stop it, as researchers have found a link between Toxoplasma gondii (T. gondii) infection and the risk of glioma, a rare type of brain cancer, in adults.
T. gondii is a common parasite that is most commonly acquired from undercooked meat and may lead to the formation of cysts in the brain.
The study, published in the International Journal of Cancer, suggests that people who have glioma are more likely to have antibodies to T. gondii (indicating that they have had a previous infection) than a similar group that is cancer-free.
"The findings do suggest that individuals with higher exposure to the T. gondii parasite are more likely to go on to develop glioma," said lead researcher James M. Hodge from the Department of Population Science, American Cancer Society, Atlanta.
"However, it should be noted that the absolute risk of being diagnosed with a glioma remains low, and these findings need to be replicated in a larger and more diverse group of individuals," Hodge added.
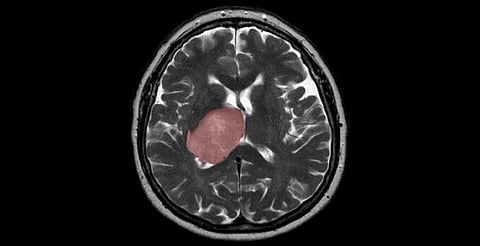
Exposure to this common food-borne pathogen could provide a modifiable risk factor for brain tumors in adults. Pixabay
For the study, the research team examined the association between T. gondii antibodies measured several years before the cancer was diagnosed, and the risk of developing a glioma.
Want to read more in Hindi? Checkout: कोरोना के खिलाफ जंग में योगदान दे रही भारतीय सेना और असम राइफल्स
These results suggest that reducing exposure to this common food-borne pathogen could provide a modifiable risk factor for highly aggressive brain tumors in adults.
Although glioma is a relatively rare disease, it is a highly fatal cancer. Globally in 2018, there were an estimated 300,000 incident cases and 241,000 deaths due to brain and other nervous system cancers, the researchers said.
The majority (80 percent) of malignant brain tumors are gliomas, for which the estimated five-year relative survival rate is a stark 5 percent, they added.
"This does not mean that T. gondii definitely causes glioma in all situations. Some people with glioma have no T. gondii antibodies, and vice versa," notes Hodge. (IANS)
Subscribe to our channels on YouTube and WhatsApp
Download our app on Play Store