General

Deadliest Brain Cancer: Glioblastoma

Author : NewsGram Desk

U.S. Senator John McCain's death from glioblastoma on Saturday brought new attention to the most deadly type of brain cancer.

The National Brain Tumor Society says 80 percent of brain tumors are benign, but a glioblastoma tumor grows rapidly, and it returns after treatment. It usually affects adults, especially men over age 50, but women and even children can develop this type of cancer.

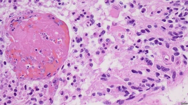
Glioblastoma begins in glial cells that surround and support nerve cells. Because glioblastoma spreads so quickly, the sooner the cancer is diagnosed, the more treatment options a patient has.

Symptoms can include headaches, seizures, memory loss, changes in personality, changes in vision, and difficulty speaking or understanding conversations. The tumor can also affect coordination.

Glioblastoma is generally considered incurable because it is difficult to remove all of cancer during surgery, which is why it can grow back. Surgery is usually the first treatment, followed by radiation and chemotherapy. McCain's treatment included these three options.

Sen. John McCain, R-Ariz., speaks on Capitol Hill in Washington. VOA

Drugs used to treat patients with this type of cancer have lengthened patients' lives over the past two decades. The National Cancer Institute reports that in the mid-1990s, the average survival rate was eight to 10 months. With new drugs patients now live between 15 and 18 months on average. McCain's tumour was diagnosed in July 2017. He died little more than a year later.

The National Cancer Institute says survival has also improved slightly. In the mid-1990s, essentially no one with glioblastoma survived five years after diagnosis, now 15 per cent of patients do, a very small proportion compared with survival rates for most other types of cancer.

Researchers are looking for new ways to treat glioblastoma. Those at Duke University in Durham, North Carolina, are using a modified polio vaccine with promising results. In the first part of a clinical trial, 21 percent of the patients survived for three years after being treated.

At Texas A&M University in College Station, researchers are looking to see whether they can disrupt the body's production of a protein associated with tumor growth.

Other research involves seeing whether the body's own immune system could fight off the cancer cells.

The National Brain Tumor Society issued a statement on McCain's death. It said the society was "profoundly saddened" and called for a national effort to combat the disease. (VOA)

Subscribe to our channels on YouTube and WhatsApp

Download our app on Play Store

Pezeshkian Says Iran Has 'Necessary Will' For Peace, Buoying Hopes Deal May Be Nearing

Satirists, Journalists, Fact-Checkers Silenced: Centre Blocks Posts, Restricts Accounts of Mohammed Zubair, Molitics and Others While Seeking to Expand Content Blocking Powers

X Writes To Delhi High Court Criticising MeitY’s Order Of Blocking Accounts Critical Of The Central Government And Its Leadership

Leander Paes’s Domestic Violence Conviction Returns to Spotlight as the Tennis Legend Joins the BJP Ahead of 2026 Bengal Elections

Parliament Budget Session LIVE: Parliament Passes CAPF, IBC and Jan Vishwas Bills